-
-
-
Tổng tiền thanh toán:
-
Bài viết
11/07/2025
TRIỆU CHỨNG PHỔ BIẾN CỦA NỔI MỤN DO GAN
Viết bởi Thanh Hoa / 0 bình luận
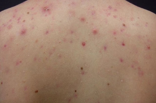
Gan là cơ quan chính lọc thải các độc tố. Khi gan bị quá tải (do chế độ ăn nhiều dầu mỡ, rượu bia, thuốc lá, hoặc hóa chất), độc tố tích tụ trong máu có thể gây viêm và kích thích tuyến bã nhờn, dẫn đến mụn. Vậy tình trạng nổi mụn do gan sẽ có những triệu chứng và biểu hiện như thế nào? Cùng tìm hiểu trong bài viết dưới đây nhé!
Nổi mụn có thể do nhiều nguyên nhân khác nhau như: Rối loạn nội tiết, vi khuẩn tấn công, hay vệ sinh da không đúng cách. Tuy nhiên, khi nổi mụn do chức năng gan suy giảm sẽ có những đặc điểm sau:
Ngứa râm ran hoặc ngứa nhiều
Gan giúp điều hòa hormone như estrogen và testosterone. Nếu gan hoạt động kém, hormone mất cân bằng có thể làm tăng tiết dầu trên da, gây bít tắc lỗ chân lông và hình thành mụn (đặc biệt là mụn nội tiết). Các biểu hiện da liễu thường gây ra tình trạng ngứa, rát da. Trong khi ngứa do nóng gam chỉ ở mức râm ra, lan rộng ra khắp các vùng da trên cơ thể.

Nổi mẩn đỏ, mảng rộng tại các vùng ngứa
Tình trạng "gan nóng" khiến cơ thể tích nhiệt, dẫn đến mụn đỏ, mụn viêm, hoặc mụn nhọt, thường xuất hiện ở trán, má, cằm. Da sẽ dần có các biểu hiện nổi từng mảng đỏ hoặc hồng lan rộng ở các vùng ngứa.

Nổi mề đay, sần cục
Ngoài ra người bị ngứa do nóng gan còn có các biểu hiện nổi mề đay, sần cục khi bị ngứa. Gan không xử lý tốt bilirubin (sắc tố mật) có thể gây tích tụ dưới da, dẫn đến ngứa và mề đay, thường kèm vàng da hoặc vàng mắt. Khi có biểu hiện nổi mề đay da sẽ mẩn đỏ, sưng, ngứa râm ran hoặc ngứa dữ dội, xuất hiện thành từng mảng, có thể lan rộng.

Kết luận
Khi bạn thực hiện một chế độ ăn khoa học, uống đủ nước tăng cường tập luyện thể dục thể thao, đồng thời chăm sóc da đúng cách sẽ cải thiện đáng kể tình trạng nổi mụn do gan gây ra.
Tăng cường thực phẩm hỗ trợ gan như rau xanh (bông cải, cải bó xôi), trái cây giàu vitamin C (cam, chanh), nghệ, và các loại hạt. Hạn chế đồ chiên rán, rượu bia, thực phẩm chế biến sẵn. Ngủ đủ giấc (7-8 giờ/ngày), giảm stress bằng yoga hoặc thiền. Tập thể dục thường xuyên để cải thiện tuần hoàn máu và hỗ trợ gan. Bên cạnh đó, rửa mặt 2 lần/ngày với sữa rửa mặt dịu nhẹ. Dùng sản phẩm không gây bít tắc lỗ chân lông. Tránh nặn mụn để tránh viêm nhiễm. Những điều này sẽ giúp làn da trở nên khỏe mạnh, không mụn nhọt và chức năng gan hoạt động bình thường trở lại.
5 Bước mỗi ngày cho làn da tươi trẻ dài lâu
Viết bởi Thanh Hoa / 0 bình luận
Làn da đóng vai trò như “lá chắn” bảo vệ cơ thể khỏi môi trường....
Cách kiểm soát sợi bã nhờn siêu hiệu quả
Viết bởi Thanh Hoa / 0 bình luận
Sợi bã nhờn không phải là mụn, mà là một phần bình thường và cần...
Các giải pháp giúp trẻ hóa làn da toàn diện
Viết bởi Thanh Hoa / 0 bình luận
Chỉ cần cơ mặt được thay đổi, sự trẻ trung của bạn sẽ xuất hiện...
Vitamin trong vai trò cải thiện tình trạng da
Viết bởi Thanh Hoa / 0 bình luận
Vitamin đóng vai trò quan trọng trong việc cải thiện tình trạng làn da, từ...